TOP
조화와 균형있는 미소를 찾아드립니다. Copyright(c)가지런e치과교정과치과의원
made by chairone

가지런e치과

Blog
Instagram

TREATMENT CASE

진료사례

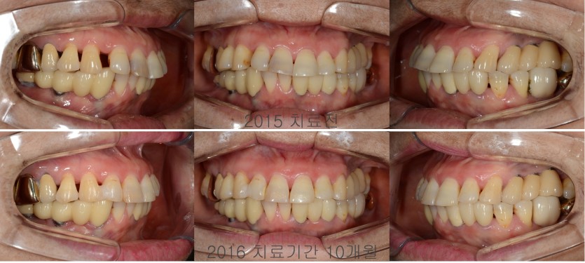
실버세대의 벌어진 앞니 교정치료 301회

노년기에 접어들면서 치주염이 진행되고 

치아를 잡아주고 있는 치주조직과 치조골에 염증이 생기면

치아가 움직이면서 치아사이가 벌어지게 됩니다. 

이러한 병리적 치아이동이 일어난 경우에는 

교정치료에 선행하여 치주염 치료가 진행되어야 합니다. 

노년기의 교정치료는 일반 교정장치를 사용하는 것에 부담을 가지시는 경우가 많아서

투명교정장치를 이용해 치료를 진행하고 있습니다. 


은퇴를 하시고나서 인생의 후반부를 자신있게 보내시고 싶은 분들께 교정치료를 추천드립니다. 



6309797ac0783a2447173c610f90c0fd_1756380215_2187.jpg
6309797ac0783a2447173c610f90c0fd_1756380213_4295.PNG
 


의료법 시행령 제23조(치료전,후 사진게시)에 의거 아래의 내용을 알려드립니다.
1.위 사진들은 실제 치료효과를 보증하는 것은 아닙니다.
2.교정치료중 과도한 교정력에 의한 치근흡수, 잇솔질이 미흡하여 치아우식, 치주염등이 발생할 수 있습니다.
3.치열교정정치료는 치과의 전문분야로 치료경험이 풍부한 교정과 전문의에게 치료받으실 것을 추천드립니다.