TOP
조화와 균형있는 미소를 찾아드립니다. Copyright(c)가지런e치과교정과치과의원
made by chairone

가지런e치과

Blog
Instagram

TREATMENT CASE

진료사례

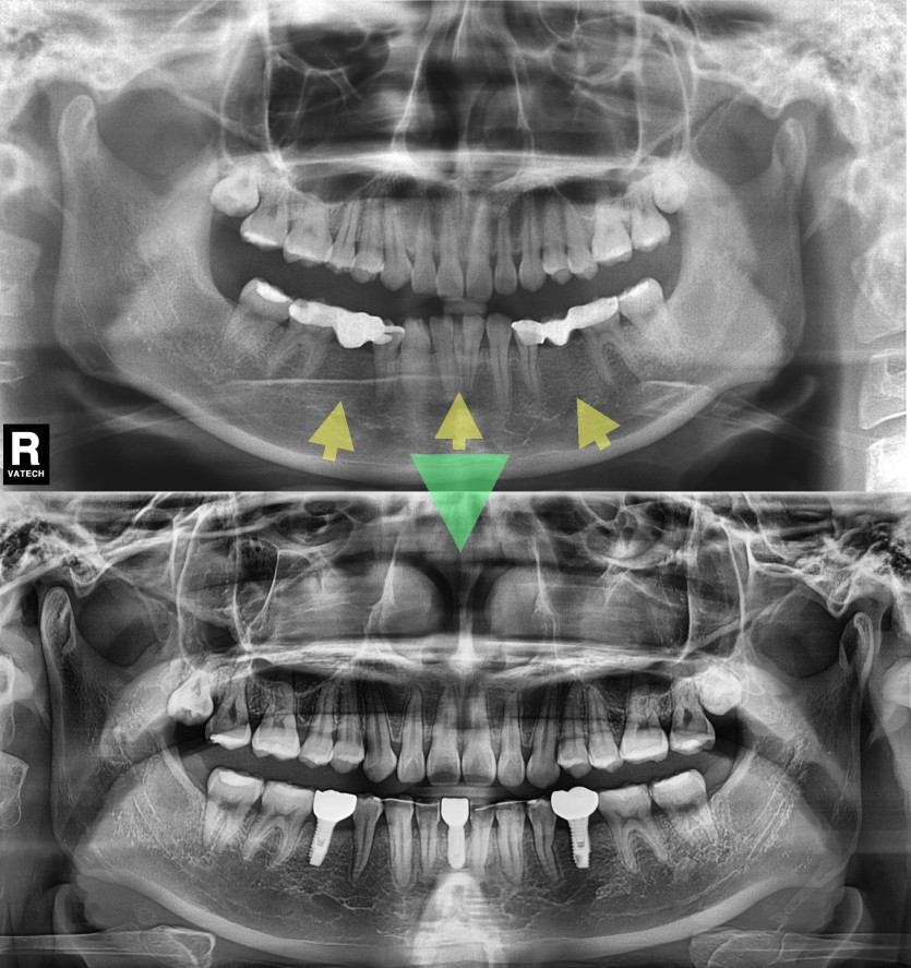
임플란트를 위한 교정치료 250회

치아가 결손된 경우에는 결손된 공간으로 치아들이 움직이면서 흩어져서 

결손된 공간에 임플란트를 바로 심지 못하는 경우가 대부분입니다 .

결손된 치아의 공간으로 흩어진 공간을 모아주어야 하는 치료가 필요합니다. 

심미와 기능을 회복하는 치료라고 할 수 있지요. 


공간이 형성된 뒤 의뢰되었던 치과로 후속처치를 위해 다시 의뢰드리고 있습니다. 


3b96fd0bb497f559eea3f5eb3e0e886c_1756350073_8161.jpg
3b96fd0bb497f559eea3f5eb3e0e886c_1756350073_9823.jpg
 





의료법 시행령 제23조(치료전,후 사진게시)에 의거 아래의 내용을 알려드립니다.
1.위 사진들은 실제 치료효과를 보증하는 것은 아닙니다.
2.교정치료중 과도한 교정력에 의한 치근흡수, 잇솔질이 미흡하여 치아우식, 치주염등이 발생할 수 있습니다.
3.치열교정정치료는 치과의 전문분야로 치료경험이 풍부한 교정과 전문의에게 치료받으실 것을 추천드립니다.