TOP
조화와 균형있는 미소를 찾아드립니다. Copyright(c)가지런e치과교정과치과의원
made by chairone

가지런e치과

Blog
Instagram

TREATMENT CASE

진료사례

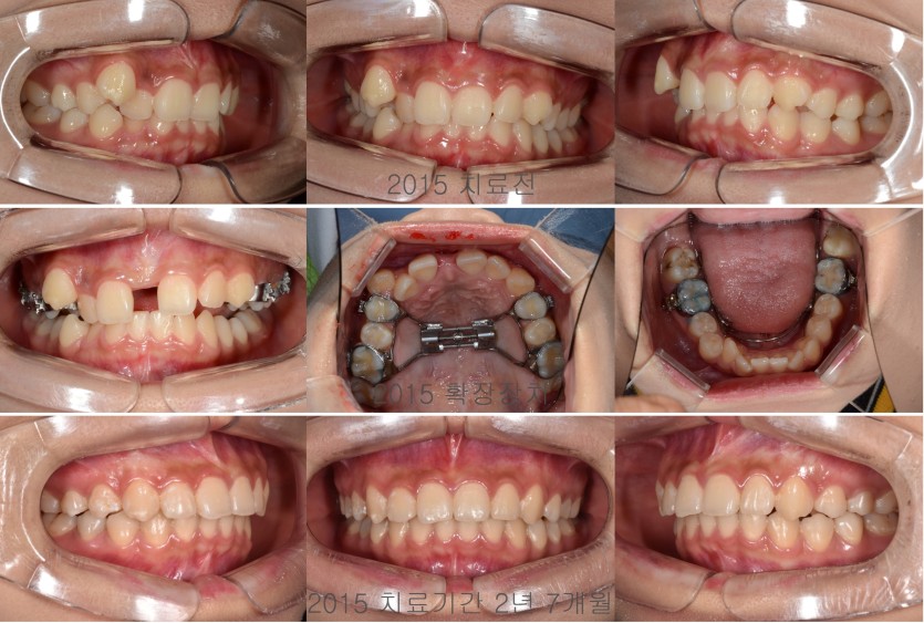
상악을 급속확장하여 덧니 배열공간을 확보한 경우 134회

상악 우측 송곳니의 배열공간이 상당히 부족한 덧니였지만 소구치를 발치하지 않고

상악을 급속확장하는 장치를 이용해서 상악 골격을 확장하면서 덧니를 배열할 수 있습니다. 

덧니를 비발치 확장의 방법으로 해결하기 위해서는 안모의 평가, 치조골의 평가, 배열을 위해 필요한 공간의 분석등이 꼼꼼히 이뤄져야 합니다. 



3b96fd0bb497f559eea3f5eb3e0e886c_1756025607_386.jpg