TOP
조화와 균형있는 미소를 찾아드립니다. Copyright(c)가지런e치과교정과치과의원
made by chairone

가지런e치과

Blog
Instagram

TREATMENT CASE

진료사례

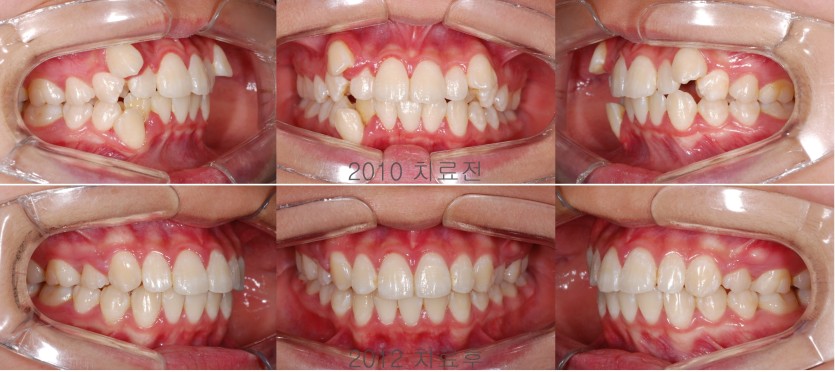
덧니를 해결하기 위한 편악발치교정치료 141회

상악의 소구치를 발치하면서 하악은 발치하지 않고 진행하는 경우도 있습니다. 

이런 경우를 편악발치교정치료라고 합니다. 

편악발치교정치료는 상악의 덧니만 심하거나, 하악이 왜소해서 상하악간 골격편차가 있는 경우에 진행하는 방법입니다. 

상하악 소구치를 대칭적으로 발치하는 것이 일반적이지만, 상악만 발치해야 하는 타협적인 경우도 있습니다. 

그러나, 소구치 4개를 발치하는 것보다 소구치 2개만 발치하는 치료를 더 쉽거나 간단한 치료라고 여겨서는 안됩니다 


3b96fd0bb497f559eea3f5eb3e0e886c_1756024350_3942.jpg