TOP
조화와 균형있는 미소를 찾아드립니다. Copyright(c)가지런e치과교정과치과의원
made by chairone

가지런e치과

Blog
Instagram

TREATMENT CASE

진료사례

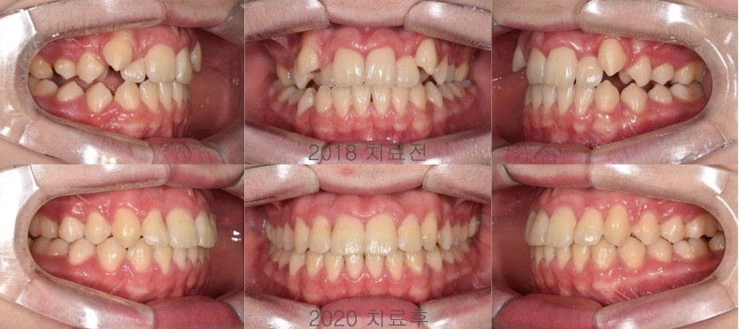
덧니의 비발치 확장 교정치료 151회

덧니가 있다고 무조건 발치 교정치료로 해결하는 것은 아닙니다 . 

안모, 공간부족양, 치조골의 크기와 형태 등 다양한 요소를 고려하여 비발치 교정치료로 진행하는 경우도 많습니다. 

그리고 비발치 교정치료를 진행했을 때 사용할 수 있는 장치의 종류도 다양합니다. 


이 환자의 경우에는 Quadhelix 라는 완속 확장 장치를 이용하여 천천히 치열궁을 배열하였으며 그 결과는 장기간동안 잘 유지되고 있습니다. 


3b96fd0bb497f559eea3f5eb3e0e886c_1756023684_863.jpg